Дополняю отзыв
17 мая ушла к другому ортодонту.
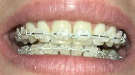
Ни разу не пожалела об этом решении. Очень жалею, что не сделала это в первый же год, когда были первые "звоночки". 11 января после приема на котором врач загибал дугу, разъехались передние нижние зубы ,буквально через 30 минут после приёма, появился избыток места, образовалась щель

(которой никогда не было) эту проблему врач не мог решить 4 месяца, последний раз была на приеме 10 мая, и опять ушла с щелью

с 11 января по 10 мая - ЭТО БЫЛ 7 ВИЗИТ! а чего бы и нет, можно же без конца кататься на платные приемы

На мои вопросы - почему так, почему щель не затягивается "я не знаю, у вас тут все хорошо"

В итоге, 17 мая другой ортодонт решил эту проблему
за 3 минуты, за что я ему ОЧЕНЬ благодарна

. уже месяц никаких щелей. Все ок.
Жду снятие брекетов.
По результатам лечения:
- верхняя челюсть, недотянули щель между 5 и 6 зубом. за 3.5 ГОДА!

- 5 сколотых верхних передних зубов, требуется реставрация. (сколов до начала лечения не было, были здоровые целые зубы)
Пускай доктор покажет
в каком месте у меня был бруксизм, фото зубов до лечения у него есть.
С отбеливанием я попрощалась

. уже все.. Надо было "еще выше" нижнее брекеты клеить

- нижняя челюсть, изначально был дефицит места, ушла с щелью т.е избыток места (фантастика)

- так много вопросов и так мало ответов по поводу нижнего левого клыка.
Визуально смотрится норм, но это не точно
и это далеко не все моменты, расписывать больше не хочу. Хорошо, что у меня есть фотоотчёты

после каждого приема. Если тут начнется ****. и споры, готова выложить)
Так же, не смогла забрать свои слепки зубов. Хотела оставить на память с брекетами, не отдали

якобы они консультировались с юристом и
по какому-то закону ( по какому не уточнили

) слепки хранятся в клинике 5 лет, или надо идти к нотариусу. Удивительно и поразительно

я уже не стала разбираться, т.к. лично с Левиным не поговоришь, как платная услуга (да-да,
которую я отплатила, материал, снятие слепков, изготовление) становится собственностью клиники
Так же, меня сняли с записи к Гире Юлии Игоревне (очень хороший стоматолог



)

как сказала администратор " по решению Бориса Владимировича" обиделся видимо

"уходя - уходи навсегда

и от моих стоматологов тоже

"
Но позже ездила забрать снимки, разрешили опять к ней записаться

цирк
Не рекомендую ЦКС для лечения брекетами.
Как жаль, что негативные отзывы не так давно начали вылазить, и таких как я не мало...
И вся эта ваша самореклама, с аккаунтов однодневок на разных форумах, с однотипными сообщениями и отзывама от одного администратора , и рассказы о том, что Левин Б.В снимает аАЖ 250 брекетов в год



не стоит и выеденного яйца.
Очень благодарна Гире Юлии Игоревне за качественное лечение, на протяжении этих лет. Если кто-то знает, работает ли он и в других клиниках - поделитесь контактами