Змінюй хід війни! Допомагай ЗСУ!

Стоматологическая клиника ЦКС, Харьков

  • Автор теми Автор теми Nyakov
  • Дата створення Дата створення
Re: Стоматологическая клиника ЦКС, Харьков

.webp

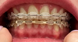
Результат лечения за 3 года 6 месяцев.


Левая сторона 20.06.2021
 с левой стороны.webp

Сколы 20.06.2021
 1.webp
 2.webp
 3.webp


На НЧ брекеты были переклеены немного ниже, примерно через год после установки, с 5 по 5 зубы, но сколы уже были.
За все время не было предложено Н И Ч Е Г О, что бы предотвратить это.
Сбивание брекетов на фронтальных единицах прекратилось после того как скололись зубы рядом, предполагаю что нагрузка распределилась.

Надкусочные пломбы были установлены через 2 месяца после установки НЧ.
2 месяца жевала ничем, языком.

До сих пор не понимаю, почему мне не предложили металлические брекеты (меньшие размером) , почему не наклеили их ниже изначально, почему слезно выпрашивала поднять пломбы, но мне регулярно отказывали


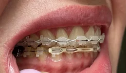
Левый клык 20.06.2021
Я этого делать не просила.
 клык.webp



Правый клык 20.06.2021
 клы.webp
 клык 2.webp

IMG_2358.webp

Центр, который так боялся потерять Борис, но вроде так и не нашел его

2017 год
IMG_E4589.JPG.webp

на 20.06.2021
 3.5 года.JPG.webp

ВЧ щель не дотянули, зубы испорчены, пожизненный клиент на реставрацию.
НЧ предполагаю что когда-то придется перелечивать.

Всегда дорожил общением с вами. Всегда было интересно. У вас нестандартный ход мысли и взгляд на вещи. Вы не такая как все. Это хорошо, когда человек отличается от общей массы. Чаще это люди талантливые, а может быть даже гениальные. Но у вас как у начинающего ортодонта есть стандартные ошибки и чрезмерный максимализм, при этом вы не прислушиваетесь к моему мнению. Когда пациент лечится, но не слушает лечащего врача, не выполняет его рекомендаций, то обязательно бывают проблемы. Надеюсь, новые советчики не подведут вас.

410e65c9f07f14dc.webp



f12c1c3a998b3d83503f451e.webp



fac3421dae7a1d22c.webp
 
Re: Стоматологическая клиника ЦКС, Харьков

Всегда дорожил общением с вами. Всегда было интересно.
Я с вами тоже. В целом с вами было прикольно. Вы юморной, иногда чуть, чуть врёте, но это бывает почти со всеми людьми.

у вас как у начинающего ортодонта есть стандартные ошибки и чрезмерный максимализм
Достаточно сходить на консультации к другим ортодонтАМ.

при этом вы не прислушиваетесь к моему мнению. Когда пациент лечится, но не слушает лечащего врача

К какому мнению, я вас первые 2 года видела раза 4-5:D

не выполняет его рекомендаций
а какие были рекомендации (я вдруг забыла) капа за которую я сама начала узнавать, или эластики который забыли назначить за 3 года и опомнились в день снятия? (риторический вопрос) :D


Надеюсь, новые советчики не подведут вас.
Не переживайте за других, занимайтесь собой. Лечение с вами для меня было огромным уроком на будущее. Никто о вас дурного не сказал.

Не надо клеить брекеты на десну :D

Бруксизм? Я пришла к вам с целыми верхними зубами. ФАКТ
За нижние - 0 вопросов. Они в таком состоянии с раннего возраста.


если все так страшно было, бруксизм является противопоказанием? тогда это проблема ваша. Как лечить, как часто встречаться с пациентом, чтобы не испортить зубы, раз беретесь лечить :клас:

Кстати, на нижних единицах очень испортили, выпилили эмаль, прям под брекеты. (остаётся только улыбаться, время не вернуть, что сделано то сделано) спасибо вашему ассистенту. Вот вам объективное мнение, я помню кто и как клеил брекеты.

Удачи вам.
 
Re: Стоматологическая клиника ЦКС, Харьков

На днях снимаю брекеты после 4х лет ношения (ситуация была достаточно сложная), лечением полностью доволен, как и доктором.
Цены более чем адекватны. За визиты в среднем выходит от 50 до 200 грн в месяц, судите сами - дорого это для вас или не очень.
В ЦКС пришел долечиваться после другого "доктора" (не буду делать ей рекламу сейчас). Вот там действительно было ради чего создавать тему на ХФ.
Здесь же - совсем другое отношение. Борис Владимирович пытается помочь с проблемой, а не занимается выкачиванием денег. Но нужно понимать, что пытаться помочь - это не значит навязывать вам свою помощь. Никто не будет вас тянуть за ручку и заставлять лечить свои зубки. Если вы не способны придерживаться рекомендаций врача на протяжении длительного отрезка времени, то это лишь ваши проблемы.
 
Re: Стоматологическая клиника ЦКС, Харьков

Всегда хотела себе ровные зубы, но в детстве и в юношестве родители не могли позволить себе такое удовольствие, да и не сказать, что ситуация была критическая: вон каждый второй ходит с подобными зубами и ничего.
Но все же мысль о ровных зубах меня не покидала. И вот, спустя годы, с поялением работы и возможностью откладывать на детскую мечту, я все же собрала нужную сумму для установки брекет-системы))
Сразу скажу, что к Борису Владимировичу я пришла от другого ортодонта.
Моя ошибка с первым доктором была в том, что я практически бездумно выбрала врача. Мне всегда казалось, что это не такая и сложная задача - выровнять зубы. Приклеили тебе брекеты, продели проволочку - и зубы сами, как по волшебству, становятся в ровный ряд. Но, увы, не всё так легко и просто происходит.
Я практически никакой информации не читала о брекетах, знала только, какие они бывают (металлические, керамические, сапфировые и тд), их цены, и пересматривала только фото до и после, что вдохновляло и заряжало на позитив. Собственно и всё.
Выбрав керамические брекеты, мне их успешно установили. Каждый месяц я приходила на осмотр, что меняли резинки (или не меняли), я платила по 100 грн, спустя пол года по 150 грн. Ортодонтом была молодая женщина, веселая, разговорчивая. Она не работала конкретно в той клинике, куда я ходила, она приходила туда раз в месяц, а основная работа у нее была в другой клинике, как потом я узнавала. Где-то через пол года начались какие-то непонятные ситуации. В этой же клинике работала еще один врач, стоматолог (не ортодонт), которая постоянно смотрела как мне что-то делают, что-то спрашивала, отвлекала ортодонта от работы своими вопросами и разговорами, которые были не только об ортодонтии, но и об отдыхе, отпусках, детях и тп. Конечно, это напрягало и начинало раздражать. После, без моего разрешения, но как бы под присмотром моего ортодонта, стоматолог решила поменять мне резинки, раза 3 чуть не ранила мне рот и дёсна, тогда мой врач все же доделала все за неё. Потом мне сказали, что они будут с ней чередоваться и на приём я буду ходить то к моему ортодонту, то к этому другому доктору. Меня такая ситуация не устраивала, я спросила, почему так? Я же к вам пришла лечиться, и мы не оговаривали подобного поворота событий. После чего получила ответ, что она переезжает в другую страну на ПМЖ и передаст меня своей коллеге (той, что мне рот чуть не порвала), мол "Она закончила те же курсы что и я"... Эмм... Что?.. И потом добавила, что будет консультировать ее по скайпу... Класс, да?)) Может сейчас это и практикуют, в условиях карантина)), а это было 5 лет назад.
Итак, я начала искать другого доктора. Но, что б вы понимали, далеко не каждый врач возьмется за чужую недоделанную работу. Походив на разные консультации в разные клиники - вердикт был один - всё снять и клеить заново, начинать лечение заново.
К Владимиру Борисовичу я ходила аж на 3 консультации, пережде чем он взялся за лечение в моем случае. Мне сделали расчеты на моем снимке зубов ТРГ в профиль, показали, какой у меня прикус и какой должен быть в норме (хотя для каждого норма весьма индивидуальное значение и об этом мне тоже говорили), на сколько у меня отклонение и тп - этого в прошлой клинике мне не делали.
Рассказали, что когда во рту мало места и когда зубы выравниваются, и если не просчитать и не обратить внимание на дефицит места в зубном ряду, то зубы начинают выступать вперед - и вот, ты "счастливый" обладатель лошадиной улыбки! Ну а что, зубы ведь ровные, про прикус никто ничего говорил - похоже это негласный девиз предыдущего доктора. Я потом еще раз прошлась по фотографиям до и после моего прошлого ортодонта и вот незадача - 8 из 10 случаев были как раз с явно выдвинутой верхней челюстью вперед... Такие дела.
Мне также рассказали, как можно избежать подобного эффекта (лошадиной улыбки) - в большинстве случаев в этом помогает только удаление зубов. Кто-то скажет "Что? удалять здоровый зуб?"... Да, это может испугать, потому стоит взвесить все за и против, почитать информацию и тд. Я почитала, посмотрела этапы подобного лечения (кстати, у Бориса Владимировича на сайте ЦКС также есть блог, где можно почитать о разных случаях лечения, со всеми этапами, фотографиями, об имплантации, о детской ортодонтии, о причинах и следствиях той или иной проблемы) - в общем, только в тот момент я копнула глубже и пожалела, что так халатно отнеслась к выбору доктора в самом начале. Я видела только верхушку айсберга, когда думала, что поставив брекеты, всё порешается само собой.
Еще я узнала о том, что наш язык очень влияет на наш прикус и ровность зубов. То, как мы глотаем, влияет на зубной ряд еще с самого детства. И чтобы правильно глотать и управлять языком нужно делать упражнения - всё это в последствии сохранит положительный результат лечения, т.к если не научишься этому, то результат может постепенно вернуться обратно. А люди, столкнувшись с подобным, подумают, что это им плохо выровняли зубы, но никто и не задумается, что проблема была в самих людях и их действиях. Причина которой может быть в том, что либо им не рассказывали о таких тонкостях, либо рассказывали, но люди ленятся и не придерживаются рекомендаций.
Фух, еще много есть чего написать, но не буду)))
Главное, что Борис Владимирович взялся за лечение после другого доктора. Я получила не только красивую и здоровую улыбку с ровными зубами и правильным для меня прикусом, но и новые знания в области ортодонтии. Звучит конечно громко)) нет, я не стану лечить других, но понимание разных аспектов в этой области, понимание почему происходит именно так, а почему так не получится - и помогло добиться отличного результата в лечении.
Спасибо Владимиру Борисовичу и Любови Борисовне за лечение) Я осталась довольна.
Потому очень внимательно всегда выбирайте доктора, клинику, изучите свою проблему чуть глубже. И будет вам счастье)
дарова, Борис Владимирович Владимир Борисович.
 
Re: Стоматологическая клиника ЦКС, Харьков

Сразу скажу, что к Борису Владимировичу я пришла от другого ортодонта

К Владимиру Борисовичу я ходила аж на 3 консультации

(кстати, у Бориса Владимировича на сайте ЦКС также есть блог

Главное, что Борис Владимирович взялся за лечение после другого доктора

Спасибо Владимиру Борисовичу и Любови Борисовне
Из этого замечательного отзыва, я так понял в этой так сказать клиники все Борисовичи
 

Вкладення

  • -отца-со-стетоскопом-и-маленькой-формой-врача-сына-e-хотеть-быть-151002762.webp
    -отца-со-стетоскопом-и-маленькой-формой-врача-сына-e-хотеть-быть-151002762.webp
    33.5 КБ · Перегляди: 403
Re: Стоматологическая клиника ЦКС, Харьков

Всегда хотела себе ровные зубы, но в детстве и в юношестве родители не могли позволить себе такое удовольствие, да и не сказать, что ситуация была критическая: вон каждый второй ходит с подобными зубами и ничего.
Но все же мысль о ровных зубах меня не покидала. И вот, спустя годы, с появлением работы и возможностью откладывать на детскую мечту, я все же собрала нужную сумму для установки брекет-системы))
Сразу скажу, что к Борису Владимировичу я пришла от другого ортодонта.
Моя ошибка с первым доктором была в том, что я практически бездумно выбрала врача. Мне всегда казалось, что это не такая и сложная задача - выровнять зубы. Приклеили тебе брекеты, продели проволочку - и зубы сами, как по волшебству, становятся в ровный ряд. Но, увы, не всё так легко и просто происходит.
Я практически никакой информации не читала о брекетах, знала только, какие они бывают (металлические, керамические, сапфировые и тд), их цены, и пересматривала только фото до и после, что вдохновляло и заряжало на позитив. Собственно и всё.
Выбрав керамические брекеты, мне их успешно установили. Каждый месяц я приходила на осмотр, что меняли резинки (или не меняли), я платила по 100 грн, спустя пол года по 150 грн. Ортодонтом была молодая женщина, веселая, разговорчивая. Она не работала конкретно в той клинике, куда я ходила, она приходила туда раз в месяц, а основная работа у нее была в другой клинике, как потом я узнавала. Где-то через пол года начались какие-то непонятные ситуации. В этой же клинике работала еще один врач, стоматолог (не ортодонт), которая постоянно смотрела как мне что-то делают, что-то спрашивала, отвлекала ортодонта от работы своими вопросами и разговорами, которые были не только об ортодонтии, но и об отдыхе, отпусках, детях и тп. Конечно, это напрягало и начинало раздражать. После, без моего разрешения, но как бы под присмотром моего ортодонта, стоматолог решила поменять мне резинки, раза 3 чуть не ранила мне рот и дёсна, тогда мой врач все же доделала все за неё. Потом мне сказали, что они будут с ней чередоваться и на приём я буду ходить то к моему ортодонту, то к этому другому доктору. Меня такая ситуация не устраивала, я спросила, почему так? Я же к вам пришла лечиться, и мы не оговаривали подобного поворота событий. После чего получила ответ, что она переезжает в другую страну на ПМЖ и передаст меня своей коллеге (той, что мне рот чуть не порвала), мол "Она закончила те же курсы что и я"... Эмм... Что?.. И потом добавила, что будет консультировать ее по скайпу... Класс, да?)) Может сейчас это и практикуют, в условиях карантина)), а это было 5 лет назад.
Итак, я начала искать другого доктора. Но, что б вы понимали, далеко не каждый врач возьмется за чужую недоделанную работу. Походив на разные консультации в разные клиники - вердикт был один - всё снять и клеить заново, начинать лечение заново.
К Борису Владимировичу я ходила аж на 3 консультации, прежде чем он взялся за лечение в моем случае. Мне сделали расчеты на моем снимке зубов ТРГ в профиль, показали, какой у меня прикус и какой должен быть в норме (хотя для каждого норма весьма индивидуальное значение и об этом мне тоже говорили), на сколько у меня отклонение и тп - этого в прошлой клинике мне не делали.
Рассказали, что когда во рту мало места и когда зубы выравниваются, и если не просчитать и не обратить внимание на дефицит места в зубном ряду, то зубы начинают выступать вперед - и вот, ты "счастливый" обладатель лошадиной улыбки! Ну а что, зубы ведь ровные, про прикус никто ничего говорил - похоже это негласный девиз предыдущего доктора. Я потом еще раз прошлась по фотографиям до и после моего прошлого ортодонта и вот незадача - 8 из 10 случаев были как раз с явно выдвинутой верхней челюстью вперед... Такие дела.
Мне также рассказали, как можно избежать подобного эффекта (лошадиной улыбки) - в большинстве случаев в этом помогает только удаление зубов. Кто-то скажет "Что? удалять здоровый зуб?"... Да, это может испугать, потому стоит взвесить все за и против, почитать информацию и тд. Я почитала, посмотрела этапы подобного лечения (кстати, у Бориса Владимировича на сайте ЦКС также есть блог, где можно почитать о разных случаях лечения, со всеми этапами, фотографиями, об имплантации, о детской ортодонтии, о причинах и следствиях той или иной проблемы) - в общем, только в тот момент я копнула глубже и пожалела, что так халатно отнеслась к выбору доктора в самом начале. Я видела только верхушку айсберга, когда думала, что поставив брекеты, всё порешается само собой.
Еще я узнала о том, что наш язык очень влияет на наш прикус и ровность зубов. То, как мы глотаем, влияет на зубной ряд еще с самого детства. И чтобы правильно глотать и управлять языком нужно делать упражнения - всё это в последствии сохранит положительный результат лечения, т.к если не научишься этому, то результат может постепенно вернуться обратно. А люди, столкнувшись с подобным, подумают, что это им плохо выровняли зубы, но никто и не задумается, что проблема была в самих людях и их действиях. Причина которой может быть в том, что либо им не рассказывали о таких тонкостях, либо рассказывали, но люди ленятся и не придерживаются рекомендаций.
Фух, еще много есть чего написать, но не буду)))
Главное, что Борис Владимирович взялся за лечение после другого доктора. Я получила не только красивую и здоровую улыбку с ровными зубами и правильным для меня прикусом, но и новые знания в области ортодонтии. Звучит конечно громко)) нет, я не стану лечить других, но понимание разных аспектов в этой области, понимание почему происходит именно так, а почему так не получится - и помогло добиться отличного результата в лечении.
Спасибо Борису Владимировичу и Любови Борисовне за лечение) Я осталась довольна.
Потому очень внимательно всегда выбирайте доктора, клинику, изучите свою проблему чуть глубже. И будет вам счастье)
 
Re: Стоматологическая клиника ЦКС, Харьков

Вообще, конечно, феерично, что преведы имеют возможность удалять свои сообщения, особенно в такой контроверсивной теме. Вы не находите, коллеги? :зуби:
 
Re: Стоматологическая клиника ЦКС, Харьков

Я также имела горький опыт ортодонтического лечения в клинике ЦКС. Искала доктора по отзывам, исходя из тех, что нашла на тот момент, решила лечится у Левина Б.В. После консультации доктор заявил, что лечить меня без удаления четвёрок не согласен. Меня это удивило, тк скученности зубов у меня не было от слова совсем, скорее даже наоборот. Долго сомневалась жертвовать ли здоровыми зубами ради брекетов, но доктор меня убеждал, что это необходимо и никаких изменений за собой не повлечёт , разве что губы немного задвинутся назад. В итоге я по глупости своей и убеждению, что доктор не может убеждать пациента удалять здоровые зубы не будучи уверенным, что результат будет того стоить. По итогу я получила кардинальные изменения в овале лица , впалые щеки, плоский профиль, узкое удлиненное в них лицо. Челюсти у меня были маленькими, ослабленно нижняя, после удаления четвёрок зубы мне стянули настолько, что языку во рту нет места от слова совсем, передние зубы начали стираться, смыкание с одной стороны есть, с другой нет.

На данный момент обошла уже большое количество других докторов в надежде исправить ситуацию, один из них пытался расширить место удаленных зубов обратно, чтобы поставить импланты на их место, что оказалось бесполезно, так как корни зубов остаются на месте, после того, как в ЦКС мне их так стянули .

Все ортодонты без исключения приходят в ужас при виде того, что мне сделали с обеими челюстями и с лицом в целом, вывод таков, что исправить эту фатальную ошибку Левина просто напросто невозможно. Вот так вот, придя в клинику в надежде слегка подправил свой прикус, я потеряла 2 года, немало денег, 2 здоровых зуба и прлучила лицо, которое изменилось до неузнаваемости . К тому же, неизвестно, сколько ещё всех этих ресурсов я потрачу , чтобы привести свой прикус хотя бы в более менее адекватное состояние.

Каждый мой приём без исключения начинался с 15-30 минутного ожидания, а заканчивался моими слезами после выхода из клиники, тк на приёме на мои вопросы толком не отвечали , на мои замечания по поводу слишком узких челюстей и впавших ещё мне говорили, что это лишь мои выдумки.
Лечиться я изначально туда пришла к Левину, а он после того, как удалил мне четвёртки и установил брекеты, быстро передал меня какой-то своей коллеге и на приемах присутствовал очень редко. Лечила меня эта женщина в дальнейшем .

У меня та же история точь в точь,как у вас.Только ко всему еще могу добавить,что я теперь в тяжелейшем состоянии.После очередной коррекци у меня стянуло голову нервами и свернут первый шейный позвонок.
 
Re: Стоматологическая клиника ЦКС, Харьков

Огромные проблемы с первым и вторым шейными позвонками

Проблемы с лицевыми и черепными костями, острые боли и скованность в затылочной кости

Шум в голове, нарушение мозгового кровообращения и венозного оттока

Нарушение осанки и всей биомеханики тела

Пережатые нервы, панические атаки

Удаленные три здоровых зуба, стёртые передние зубы, вывернутая в бок перегородка на десне между верхними передними зубами. Отсутствие щечных контактов между зубами,вся нагрузка на передние зубы при жевании.

Задвинутая челюсть по самые сонные артерии. Узкая ****ливая челюсть.Верхняя часть головы широкая, а нижняя-просто вдавлена в шею.

ТАКИЕ бонусы я получила после 2.5 летнего ортодонтического лечения у Левина Б.В.
При этом Левин Б.В. говорит,что шея и челюсть НИКАК не связаны и это еще нужно доказать,что эти проблемы возникли из-за брекетов.
Через полгода начали стираться передние зубы.Через год значительно изменилось положение носа,я уже не могла носить старые солнечные очки.Был момент,когда я заметила,что моя верхняя челюсть ******а под углом вниз,а нижняя стоит прямо. Когда я спросила,почему так происходит,Левин Б.В. сказал, "что так надо". Могу только присоединиться ко всем негативным отзывам и подтвердить,что с Левиным Б.В. действительно сложно общаться.Он не считает нужным объяснять,что он делает в ходе лечения. Мне пришлось носить четыре иглы на нижней челюсти(которые якобы должны менять положение языка),хотя это не оговаривалось в начале перед установкой брекетов.На любые вопросы реагирует странно-убегает в соседний кабинет или съезжает с темы.
Оговоренные сроки лечения вначале не выполнены.Я расчитывала,что действительно буду носить брекеты 1.5-2 года,как он и сказал вначале.Но через 2.5 года была вынуждена просить просто снять брекеты, так как на последнюю коррекцию меня уже привезли на авто.Я не могла самостоятельно передвигаться, адски болела шея,а в половине головы ощущалась сильная стянутость. Левин Б.В. послал к невропатологу и манипулировал тем,что я полгода сделала промежуток между коррекциями.Хотя перед этими была проведена коррекция во время которой у меня поднялось давление.В тот момент Левин поставил мне диагноз сахарный диабет и сказал"не нервничайте".После я не смогла посещать клинику полгода из-за закрытых границ.Когда я вернулась была проведена еще одна коррекция, после которой у меня начали неметь руки и стало тяжело дышать. Затем еще одна коррекция- после которой появился шум в голове. Последняя коррекция просто довела меня до убийственного состояния-у меня стянуло нервами полголовы.Я позвонила в клинику,объяснила ситуацию.Мне ответили,что перезвонят после уточнения.После администратор сказала,что ничего не решает и Левин Б.В. находится за границей,связи с ним нет.Предложили ждать следующий визит в клинику по расписанию.А где была тогда Коваленко Л.Б.,которая тоже делала коррекции?Тогда я вынуждена была консультироваться у других ортодонтов. Несколько из которых,спросили меня,не вернул ли Левин Б.В. деньги за такую работу
На мою фразу: «Я очень плохо себя чувствую, вы должны мне снять брекеты».
Левин Б.В. ответил: «Я вам ничего не должен».
Наверное, хотелось бы услышать другие слова от человека, которому доверяешь свое здоровье и 2.5 года каждый месяц ездишь из другого города и оплачиваешь коррекции. Никакой помощи мне тогда,в том ужасном состоянии,он не оказал.А только подсовывал бумаги на подпись,чтобы я написала "претензий не имею". Сложно говорить о порядочности этого человека.

Внимательно читайте все отзывы об этой клинике.Возможно,это сбережет вам ваши деньги и здоровье.

НЕКОМПЕТЕНТНОСТЬ,НАПЛЕВАТЕЛЬСКОЕ ОТНОШЕНИЕ К КЛИЕНТАМ и только «доллары в глазах» - так могу отозваться о лечении в этой клинике.
 
Re: Стоматологическая клиника ЦКС, Харьков

Никто не будет вас тянуть за ручку и заставлять лечить свои зубки. Если вы не способны придерживаться рекомендаций врача на протяжении длительного отрезка времени, то это лишь ваши проблемы.

Давайте вы оставите своё убогое мнение при себе, о том кто и как поддерживал рекомендации, у Левина есть своя ветка, где вы можете кланяться в ноги. Ок?
А рекламного характера отзыв, и я могу написать :D зубы свои в студию :цехф:
Мне за все это время уже 3 человека написало в ЛС, о вашем великом докторе :D это говорит о многом.
 
Re: Стоматологическая клиника ЦКС, Харьков

Огромные проблемы с первым и вторым шейными позвонками

Проблемы с лицевыми и черепными костями, острые боли и скованность в затылочной кости

Шум в голове, нарушение мозгового кровообращения и венозного оттока

Нарушение осанки и всей биомеханики тела

Пережатые нервы, панические атаки

Ищите доктора который разбирается в Ортокраниодонтии. Есть ряд врачей, которы понимают, что в теле все связано между собой.
в гугле нашла, 3 врача из Харькова

Беляковский Дмитрий
Храпач Елена
Колодий Валерия

Это те специалисты, которые (вроде бы, уточняйте) проходили обучение у ортокраниодинолога - Савинова Алексея Олеговича (царство ему небесное) достаточно весомый человек был… который как раз и занимался такими последствиями как у вас.
Левин, не из той оперы, там вам расскажут что вы больная на голову, и лечить вам надо нервы, знаем - знаем )
 
Re: Стоматологическая клиника ЦКС, Харьков

Давайте вы оставите своё убогое мнение при себе, о том кто и как поддерживал рекомендации, у Левина есть своя ветка, где вы можете кланяться в ноги. Ок?
А рекламного характера отзыв, и я могу написать :D зубы свои в студию :цехф:
Мне за все это время уже 3 человека написало в ЛС, о вашем великом докторе :D это говорит о многом.

Меня прошу из списка писавших вам не учитывать. Я еще не лечилась на тот момент. Что-то конкретное вы посоветовать мне не смогли и адекватного ортодонта у вас нет на примете. То, что вы пишете, пока не очень стыкуется с тем, что рассказывают, те кто мне советовал эту стоматологию.
 
Re: Стоматологическая клиника ЦКС, Харьков

Меня прошу из списка писавших вам не учитывать. Я еще не лечилась на тот момент. Что-то конкретное вы посоветовать мне не смогли и адекватного ортодонта у вас нет на примете. То, что вы пишете, пока не очень стыкуется с тем, что рассказывают, те кто мне советовал эту стоматологию.

кто вас учитывает ? О чем вы? :)
я вам написала, что меня долечили и огромное спасибо за это. не буду брать на себя ответственность за ваш выбор врача, или рекламировать кого-то. Внимательно читайте.
Лечитесь у кого хотите :збентежений:
 
Re: Стоматологическая клиника ЦКС, Харьков

Задвинутая челюсть по самые сонные артерии. Узкая ****ливая челюсть.Верхняя часть головы широкая, а нижняя-просто вдавлена в шею.

Приложите фотографию к этому описанию. Людям нужно обязательно увидеть, как над вами издевались и во что вас превратили. Позор плохим специалистам в стоматологии!!!
 
Re: Стоматологическая клиника ЦКС, Харьков

Это те специалисты, которые (вроде бы, уточняйте) проходили обучение у ортокраниодинолога - Савинова Алексея Олеговича (царство ему небесное)

Есть ссылки на западные источники? Кроме покойного и тех, кто у него учился кто-нибудь в курсе за эту науку?
 
Re: Стоматологическая клиника ЦКС, Харьков

Приложите фотографию к этому описанию. Людям нужно обязательно увидеть, как над вами издевались и во что вас превратили. Позор плохим специалистам в стоматологии!!!

Все фото можете посмотреть в Google картах в профиле ЦКС.Там тоже есть мой отзыв.
 
Re: Стоматологическая клиника ЦКС, Харьков

Ищите доктора который разбирается в Ортокраниодонтии. Есть ряд врачей, которы понимают, что в теле все связано между собой.
в гугле нашла, 3 врача из Харькова

Беляковский Дмитрий
Храпач Елена
Колодий Валерия

Это те специалисты, которые (вроде бы, уточняйте) проходили обучение у ортокраниодинолога - Савинова Алексея Олеговича (царство ему небесное) достаточно весомый человек был… который как раз и занимался такими последствиями как у вас.
Левин, не из той оперы, там вам расскажут что вы больная на голову, и лечить вам надо нервы, знаем - знаем )

Благодарю вас за совет. Да,к сожалению не все понимают,что передвигая подъязычную и клиновидную кости могут быть проблемы во всем теле. Теперь у меня огромные проблемы с осанкой из-за проблем с ВНЧС,которые появились после лечения.

Да,он в этом плане бамбук.
 
Назад
Зверху Знизу