Змінюй хід війни! Допомагай ЗСУ!

Стоматологическая клиника ЦКС, Харьков

  • Автор теми Автор теми Nyakov
  • Дата створення Дата створення
Неэтично это делать с целью развлечения. В данном же случае это ответ на предъяву.

Спасибо коллега. Я, действительно, очень старался не писать ничего из персональных данных.
Если не прикрепить фото, то разговор становится беспредметным.
Плохо лечим? Давайте смотреть как лечим.
 
Не встречала такую теорию.
Считаю логичным отвечать на вопросы, иначе зачем нужны форумы.
А как ты представляешь, пришёл в блек, выплеснул свои эмоции, и все, прав?
А тот на кого выплеснул, сиди молчи?
Считаю что без фамилии и лиц вполне этично.

Полностью согласен
 
Спасибо за созданную тему. Постараемся осветить основные вопросы, касающиеся конфликта с Вашей женой.
1. Лечение шло неплохо, в рамках протокола. Но на одном из приемов она сказала: «Да, я знаю, что так правильно, да я знаю, что я хотела именно «ЭТОГО», но мне не нравится!» После этого начались недопонимания. Это и понятно, так невозможно проводить лечение, если хочу то одно, то другое. А у пациента все вопросы были с подтекстом: «Расскажите, как будет, а я решу мне так надо или нет»

А у пациента все вопросы были с подтекстом: «Расскажите, как будет, а я решу мне так надо или нет»

Да, именно так работают врачи во всем мире, предлагают пациенту варианты, объясняют их, и просят принять решение.
И что вы подразумеваете под "подтекстом"? Вы часто чувствуете какие-то подтексты, вам иногда кажется что люди от вас что-то скрывают?

2. Вы абсолютно верно пишете, что время следует ценить. Почему же Ваша супруга выпадала из лечебного процесса на 6 месяцев.
1. На 4 месяца.
2. Не ваше собачье дело.

Сначала она сказала, что ей надо подумать. Через пару месяцев всплыло « по личным обстоятельствам». Сказала, что временно приостанавливает лечение.
Ну допустим, и? Вы обижаетесь потому что вас пациент не посвятил в подробности своей лично жизни, или что? Вы маньяк психопат?

Вы о себе в 3тьем лице говорите? А вы не удивляйтесь. И не будет проблем.

Ведь если остановить лечение, то все усилия, которые потратила Анна и врачи, насмарку.
Конкретно в медицинской терминологии можете рассказать какие именно усилия и каким образом насмарку?
И почему же за месяц после окончания дел с вами зубы были выровнены окончательно а брекеты сняты в другой клинике.
Вы чушь не несите, не все ваши посетители безмозглые ******.

Когда она говорила про семейные обстоятельства, ее никто за язык не тянул.
Вас то же никто за язык не тянет, но вы вместо примитивной банальной вежливой отписки продолжаете грязно хамить.

Это ее версия. На наши аргументы, что остановка лечения - это плохо она сменила объяснения на то, что у нее финансовые трудности.
Версия чего, в каком контексте, какие ещё аргументы, причём тут остановка "лечения"?
Вы бредите. У вас связи нет банальной между предложениями.

Мы предложили лечиться в рассрочку, оплату сделать тогда, когда появится возможность(цены на ортодонтические активации колеблются в диапазоне от 50 до 300 грн. в месяц). На это она ответила, что нет средств на дорогу.
1. Она НЕ говорила что у неё нет средств на дорогу. Это просто мерзкая ложь.
2. На одном из приёмов на вопрос о том сколько ещё носить брекеты вы ответили - "ну 3 месяца если вы не будете пропадать"
3. На след приёме жена решила уточнить этот вопрос, сказала - "мне не нравится такая формулировка, я не пропадала, я сообщила администратору что я не могу пока что посещать доктора потому что у меня финансовые проблемы"
4. На что вы ответили - что первые раз об этом слышите и администратор вам это не передавал и он не обязан вам это передавать.
Всё. Что ещё за деньги на проезд, что вы несёте?

Теперь, когда мы читаем Ваши соображения, то возникают нестыковки. Или Анна обманщица, или Вы не даете ей денег на дорогу. Хотелось бы знать правду.
Ты себя следователем возомнили?
С чего ты взял, что имеешь хоть малейшее право, лезть в личную жизнь других людей, и в подобной грязной форме, с кучей мерзкой лжи, требовать объяснений личных обстоятельств от кого либо вообще?
Со своим отцом в таком тоне разговаривать будешь, ***********.

Насколько справедливы Ваши претензии, о том, что лечение плохое и слишком долгое? При условии, что пациент ходит когда хочет и сам не знает чего ему охота.
1. 4хмесячный перерыв в 2хлетнем лечении сложно назвать "ходит когда хочет".
2. Вам платят за деньги за то, что вы знаете как должно быть, и можете это объяснить. Пациент не может знать чего он хочет, если вы ему ничего не объясняете.
3. Ни в одной другой клинике таких проблем никогда не возникало. Так что да, справедливо.

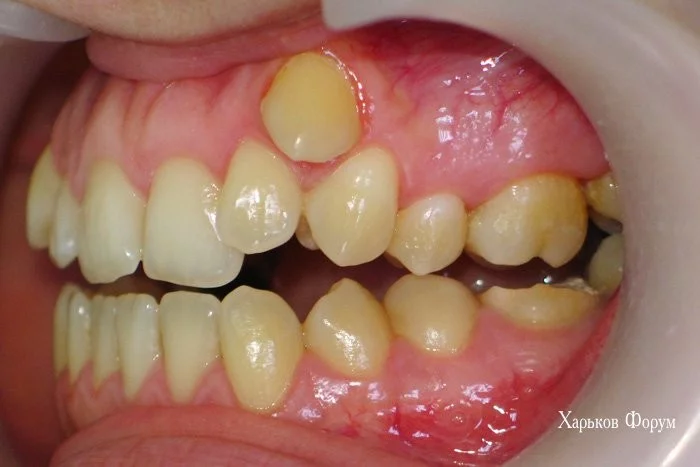
ФОТО прилагаем
-лечения.webp
-этапе.webp
Согласно ст. 39-1 Основ законодательства Украины об охране здоровья пациент имеет право на тайну о состоянии своего здоровья, факте обращения за медицинской помощью, диагнозе, а также о сведениях, полученных при его медицинском обследовании.

Понятие врачебной тайны сформулировано в статье 40 Основ. Медицинские работники и другие лица, которым в связи с выполнением профессиональных или служебных обязанностей стало известно о болезни, медицинском обследовании, осмотре и их результатах, интимной и семейной стороне жизни гражданина, не имеют права разглашать эти сведения, кроме предусмотренных законодательными актами случаев.

За незаконное разглашение врачебной тайны установлена уголовная ответственность (ст. 145 УК). Так, умышленное разглашение врачебной тайны лицом, которому она стала известна в связи с исполнением профессиональных или служебных обязанностей, если такое деяние повлекло тяжкие последствия, - наказывается штрафом до пятидесяти необлагаемых минимумов доходов граждан или общественными работами на срок до двухсот сорока часов, либо лишением права занимать определенные должности или заниматься определенной деятельностью на срок до трех лет, или исправительными работами на срок до двух лет.
 
Неэтично это делать с целью развлечения. В данном же случае это ответ на предъяву.
"Предьява" это в медицинской профессиональной терминологии - "отзыв клиента"?
У вас конечно есть повод, как врачу, встать на сторону врача, но вы вообще отдаёте себе отчёт в происходящем?
Мы же не на зоне, чтобы на предьявы отвечать. Есть недовольный клиент.
Вместо банальных извинений, грязное хамство.
Ничего по существу, одни, как вы выражаетесь, предьявы, к личности клиента. Которые были и при лечении, которые и являются основной темой этой темы.

Считаю что без фамилии и лиц вполне этично.
Этично с точки зрения перепалки двух пьяниц на базаре.
С точки зрения профессиональной врачебной этики это, это вне рамок профессиональной врачебной этики, это просто скотство.
 
Что до Вашего мнения о гигиенических и санитарных нормах. Естественно никто пациентам в рот не кашляет. Если кто-то вышел на работу не полностью пройдя реабилитацию, то маски обязательны.
Это событие произошедшее в материальной реальности в вашей клинике.
Впрочем иногда задаюсь вопросом - не приснилось ли мне все это? Бред настоящий.
А вдруг приснилось?

Чихнуть, может каждый человек, находясь в полном здоровье. Однако, весь персонал воспитан и выходит из кабинета в таких случаях.
Ну и сказки.
Весь персонал, выбегает из помещения у вас, когда чихнуть собирается? Серьёзно?

Вы понимаете, что, от того что вы что-то говорите, это не становиться правдой?
Что силой мысли вы реальность не изменяете, и позитивное мышление магическим образом не заставляет вещи материализоваться?

Этой бессмысленной и наивной ложью вы оскорбляете мой интеллект, и интеллект любого кто читает ваши сообщения.
 
Когда она говорила про семейные обстоятельства, ее никто за язык не тянул.
Доверчивая женщина, забылась и подумала, что можно доверять своему врачу, предположила наличие добрых намерений и профессиональной этики.

Наивно, я понимаю.

Вы наверное хорошо себя чувствуете насмехаясь над слабой женщиной?

Ведь если остановить лечение, то все усилия, которые потратила Анна и врачи, насмарку.
На фото виден значительный прогресс даже не тренированному глазу.
Вы сами же свою ложь обличаете в собственном посте. Не говоря уже о том, что с медицинской точки зрения это бред.
 
Ваши мрачные оценки могут быть связаны с патологическим страхом перед микробами. Ведь не зря Вы открываете двери, берясь за ручку через салфетку.
Я ещё и руки пред едой мою!
Я ещё и человечны не ем, прикиньте?!
Я ещё и книги читаю, как вам такое?

А ваша профессиональная оценка кстати какая, дверная ручка на вход в мед учреждение безопасна для здоровья, и стоит ли после неё скажем лицо трогать, глаза?

У вас же, как я понимаю, внутри помещения все ручки регулярно моют дезинфицирующим средством? Или нет?

Я так раз как-то видел делали, в другом месте, наверное сумасшедшие, микробов боятся?
А микробы они есть, по вашему мнению, или выдумка может, врачей завумных, этих, очкариков?
 
В тему вот! Прям каждый день как в кино!
 
Не ваше собачье дело.:confused::confused::confused::confused:
Вы чушь не несите, не все ваши посетители безмозглые ******.

Вас то же никто за язык не тянет, но вы вместо примитивной банальной вежливой отписки продолжаете грязно хамить.

Со своим отцом в таком тоне разговаривать будешь, ***********.:confused::confused::confused::confused:



Nyakov это pizdec, и ты называешь своего оппонента хамом?
 
И почему же за месяц после окончания дел с вами зубы были выровнены окончательно а брекеты сняты в другой клинике.
Веселые Вы ребята... То все неровно, то сняли брекеты через месяц.
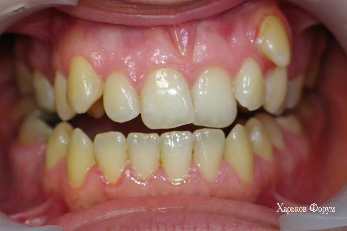
Я еще раз приложу снимки зубов ДО и ПОСЛЕ.
За много текста спасибо. Рассказываете в таких красках, как будто рядом стояли и всё слышали.
Однако, Вы у ортодонта были один раз и совсем по другому поводу.

bc60b3f5a34ff262cfb24.webp


edd6410cb17827cd.webp
 
Хорошо, что жалоба не на гинеколога...
 
"Предьява" это в медицинской профессиональной терминологии - "отзыв клиента"?


Да, согласен.

У вас конечно есть повод, как врачу, встать на сторону врача

А вот здесь нет. Меня интересует торжество справедливости. И здесь все неоднозначно.

Я не знаю что у них по телеку крутят и кто кому в рот кашлял, сервис не могу оценить- не был. Но если оценивать качество мед. помощи(а не сервис), то вот это:

Ваша супруга выпадала из лечебного процесса на 6 месяцев

Не ваше собачье дело

заставляет стать на сторону врача. Клиент не выполняет рекомендации, не приходит во время на плановые процедуры, манипуляции и т.д. Так какие могут быть претензии? Кстати, непонятно, результат то лечения по мнению пациента какой? Лечение дало положительные результаты?

Косяки в организации, запись и т.д. это конечно минус, но с другой стороны, с этим у многих проблемы.

Межличностные отношения- тема скользкая, и что там было на самом деле, кто как себя вел, кто кого провоцировал и т.д., неизвестно. Я со всяким в жизни сталкивался, пока своими глазами не увижу- нет смысла спорить и рассуждать.

А вот по поводу разглашения информации интересный вопрос. Да, закон запрещает. С другой стороны это публичный спор, в котором может пострадать профессиональная репутация. При чем личность одной стороны известна, а другой- нет. А анонимность и безнаказанность порождает монстров.

Что делать? Разглашать личную информацию об оппоненте? Я думаю это плохая идея. Либо забить, либо доказывать свою правоту в законном русле и требовать компенсацию за урон проф. репутации.
 
У меня тоже был негативный опыт лечения у Левина. Был составлен план лечения без исследования костей черепа, измерения размеров челюстей (то есть без томографии). Мне сделали только панорамный снимок. По плану предполагалось удалить 2 здоровые четверки и не удалять зубы мудрости (хотя некоторые из них лежали под углом). План лечения я подписала, претензий клинике не предъявишь.

Но в итоге у меня несколько месяцев была сильная боль в районе 7, отдавала в ухо, голову. Мне каждый раз делали снимок одного зуба и ответ был один - проблема не в зубах. Я обошла несколько врачей в поисках проблемы (лор, невропатолог, терапевт), ничего не обнаружили и в итоге обратилась к другому стоматологу. Меня направили на панорамку и проблема оказалась в зубе мудрости. После удаления (не в ЦКС) боль прошла.

После того как я озвучила это в ЦКС - мне вообще на приёме Левин перестал отвечать на вопросы. Какой дальнейший план лечения, какие приблизительные сроки и т.д.

Плюс я два раза ставила у них временную коронку и 2 раза она отпадала очень быстро (в течение недели)

В итоге я сменила ортодонта, и оказалось что мне очень сильно уменьшили размер верхней челюсти, а она и так была меньше нижней (напомню, что все это рассчитывается на томографии, на которую меня не направили перед составлением плана лечения). Теперь я вынуждена расширять верхнюю челюсть и ставить 2 импланта вместо четвёрок, которые мне удалили.

И да, никогда приём не начинался в назначенное время. Всегда ожидание от 20 до 40 минут. Если что - так не везде, это не норма, в моей текущей клинике приём начинается вовремя или не позднее +5 минут
 
У меня тоже был негативный опыт лечения у Левина. Был составлен план лечения без исследования костей черепа, измерения размеров челюстей (то есть без томографии). Мне сделали только панорамный снимок. По плану предполагалось удалить 2 здоровые четверки и не удалять зубы мудрости (хотя некоторые из них лежали под углом). План лечения я подписала, претензий клинике не предъявишь.

Но в итоге у меня несколько месяцев была сильная боль в районе 7, отдавала в ухо, голову. Мне каждый раз делали снимок одного зуба и ответ был один - проблема не в зубах. Я обошла несколько врачей в поисках проблемы (лор, невропатолог, терапевт), ничего не обнаружили и в итоге обратилась к другому стоматологу. Меня направили на панорамку и проблема оказалась в зубе мудрости. После удаления (не в ЦКС) боль прошла.


После того как я озвучила это в ЦКС - мне вообще на приёме Левин перестал отвечать на вопросы. Какой дальнейший план лечения, какие приблизительные сроки и т.д.

Плюс я два раза ставила у них временную коронку и 2 раза она отпадала очень быстро (в течение недели)

В итоге я сменила ортодонта, и оказалось что мне очень сильно уменьшили размер верхней челюсти, а она и так была меньше нижней (напомню, что все это рассчитывается на томографии, на которую меня не направили перед составлением плана лечения). Теперь я вынуждена расширять верхнюю челюсть и ставить 2 импланта вместо четвёрок, которые мне удалили.

И да, никогда приём не начинался в назначенное время. Всегда ожидание от 20 до 40 минут. Если что - так не везде, это не норма, в моей текущей клинике приём начинается вовремя или не позднее +5 минут

Спасибо, Елизавета, за Ваш отзыв. Он для нас очень важен.
Надеемся, что для Вас также будет полезна еще одна порция информации, так как речь идет о Вашем здоровье.
В начале лечения мы с Вами обсуждали размеры челюстей пропорции лица и положение зубов. И для этого у нас был снимок ТРГ. Мы рисовали положение зубов и пропорции лица при нескольких возможные вариантах лечения.
8e6c99d4fc5ce7180902ef.webp

Верхняя челюсть, действительно была незначительно меньше нормы "Верхнечелюстной угол" 79 градусов (норма 82), но этот вопрос нельзя компенсировать расширением челюсти. Этот вопрос можно решить комбинированным лечением, мы его обсуждали, но Вы отвергли этот вариант.

  1. Большей проблемой является вертикальный тип роста. Если у пациента с таким типом строения отклонять зубы вперед, то профиль и пропорции лица сильно ухудшаются. Я повторяюсь, все это я Вам рассказывал на консультации. И это первый серьезный повод лечиться с удалением зубов.
  2. Один вопрос размер челюсти, второй вопрос угол наклона зубов. Верхние зубы ДО лечения уже имели избыточный наклон вперед - 107 градусов (норма 103) лечение без удаления сильно отклонит их вперед и это второй минус эстетике.
  3. У Вас есть скученное положение зубов и дефицит места более 7 мм. А это железобетонное показание для лечения с удалением. Вы зря не взяли модели челюстей ДО лечения, для своего нового доктора! Они бы ему пригодились. Возможно, будут полезны фото
894a479df6110b7bc7b53.webp


ab37dc3d75222cee1.webp


Внимание! внимание! Если Вы будете расширять челюсть, то не удастся создать достаточно места для имплантов и когда будут устанавливать импланты, обязательно повредят корни двух соседних зубов. Рекомендую консультироваться еще у других врачей. Чтобы не получилось так, что мы тратили Ваше время по 15 минут в комнате ожидания, а Вы потратите год на расширение и это окажется напрасно.


План лечения включал удаление только двух премоляров на верхней челюсти. На нижней челюсти мы не предлагали удалять зуб мудрости, так как у Вас в очень плохом состоянии первый моляр. Именно поэтому постоянно делали снимок этого зуба. Боюсь, что он не простоит долго и будет уже минус 6-й и 8-й зуб.
Панорамный снимок ДО лечения прилагаю.
c9d6d126470dc7cab32c.webp
 
"кашляли в рот" - эта фраза меня повеселила.
ну как и все на ХФ, тема превращается в холивар
 
Походу этот дохтор потомственный рукожоп, сочувствую.

Вам русским языком пишут!

По поводу Левина Бориса Владимировича это специалист с большой буквы, и очередь к нему расписана на месяца...
Мне лично он спас 2 зуба которые надо было просто удалить.. но спас.. стоят досих пор. Жене импланты поставил, все четко.
 
Назад
Зверху Знизу