Змінюй хід війни! Допомагай ЗСУ!

Стоматология в Харькове

  • Автор теми Автор теми Drema
  • Дата створення Дата створення
Всем привет!
Моей маме 63 года, у нее диабет, гипертония. Последнее время стали шататься и выпадать зубы. Подскажите, пожалуйста, стоматологические клиники, где могут помочь с этой проблемой, проконсультировать - что можно спасти, а что запротезировать, и как. Может, поставить импланты? Знаю, что при диабете это проблематично, но может, где-то этим занимаются. В районной 5 зубной поликлинике говорят "рвать всё и ставить вставную челюсть". Этого очень бы не хотелось.
Заранее всем спасибо за советы.
 
Всем привет!
Моей маме 63 года, у нее диабет, гипертония. Последнее время стали шататься и выпадать зубы. Подскажите, пожалуйста, стоматологические клиники, где могут помочь с этой проблемой, проконсультировать - что можно спасти, а что запротезировать, и как. Может, поставить импланты? Знаю, что при диабете это проблематично, но может, где-то этим занимаются. В районной 5 зубной поликлинике говорят "рвать всё и ставить вставную челюсть". Этого очень бы не хотелось.
Заранее всем спасибо за советы.

Самые лучшие съемные протезы на кафедре Ортопедической стоматологии медицинском центре на Алексеевке.
 
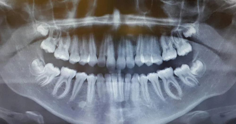
Для общей картины, чтобы здесь могли подсказать, нужно, как минимум панорамный снимок сделать и выложить сюда.

Сделали панораму и КТ, всё
⚠ Тільки зареєстровані користувачі бачать весь контент та не бачать рекламу.
. Будем очень благодарны за советы. Действительно ли всё так плохо, что нужно только все рвать? И какие могут быть варианты протезирования?
 
"Рвать всё и ставить вставную челюсть".
 
Действительно ли всё так плохо
Все верхние можно спасти на более-менее длительный срок. Внизу убирать всё и конструкция на имплантах. Наверху в боковых отделах по 2 импланта. Два условия: идеальная гигиена и контролировать уровень сахара.
 
Все верхние можно спасти на более-менее длительный срок. Внизу убирать всё и конструкция на имплантах. Наверху в боковых отделах по 2 импланта. Два условия: идеальная гигиена и контролировать уровень сахара.
Возьмёте пациентку в работу? Ну, разумеется, с условием, что если года через два-три всё посыпется, то вы переделаете бесплатно, а не за деньги пациентки? :D
 
Спасибо всем отозвавшимся!
Почему не хочется ставить съемные, я объясню. Насколько можно судить по окружающим меня бабушкам и дедушкам, вставную челюсть они надевают только "на выход" и в гроб. Моя же цель, чтобы мама могла полноценно питаться, есть фрукты и овощи, которые сейчас она пережевывать не может. Если я ошибаюсь в своём восприятии съемных протезов, поправьте меня, пожалуйста)
Сахар сейчас держим в районе 8ми, работаем над этим.
если года через два-три всё посыпется, то вы переделаете бесплатно, а не за деньги пациентки?
Если всё посыпется, то понятно, что уже держаться не будет. Зачем повторно проходить через такую сложную процедуру, как имплантация? Тогда уже будет вставная без вариантов.
От реакции на пародонтологическое лечение, индивидуальной гигиены и уровня сахара и будет зависеть дальнейшая тактика.
Подскажите, пожалуйста, как правильно: сначала лечить дёсны, а потом рвать нижние, или наоборот?))
 
Если всё посыпется, то понятно, что уже держаться не будет. Зачем повторно проходить через такую сложную процедуру, как имплантация? Тогда уже будет вставная без вариантов.
Это чисто финансовый вопрос. Имплантация очень не дёшева, потому если вы можете заплатить такую сумму с риском её просто потерять, то нет вопросов.
 
Добрый день!
Подскажите, пожалуйста, как лучше, на Ваш взгляд, поступить с 8-ми зубами?
Ребенку - 10 лет, Все 4 появились, расположены, не совсем хорошо.
Удалить сейчас, пока они не заматерели, или ждать, вдруг пронесёт?
 

Вкладення

  • 8888.webp
    8888.webp
    41.4 КБ · Перегляди: 487
Это у вас все 4 вылезли седьмые зубы;)
А восьмерки лежат, и вряд ли вылезут, им просто нет места.
Появились - в смысле стали видимы хорошо на снимке.
То, что они лежат и упираются в 7ки вижу.
Вопрос в другом, не начнут ли они чуть позже проблемы приносить?

Просто, например, у меня - одна такая лежащая 8, и от нескольких стоматологов хирургов слышал предостережение, что рано или поздно она себя проявит и удаление её вещь не особо простая.
 
Здравствуйте. Может ли реагировать на горячее депульпированный зуб?
 
Может. При недостаточной обработке/пропущенном канале :увага:


Спасибо. А что надо сделать для Диагностики? Канал пломбировали в июне. Теперь надо перепломбировать? И вообще, он хоть и не болит, но я его как то чувствую, когда языком трогаю. Пятый справа
 

Вкладення

  • 0ED7A914-22D7-4C0B-801E-4ECB5FFF75EE.webp
    0ED7A914-22D7-4C0B-801E-4ECB5FFF75EE.webp
    31.6 КБ · Перегляди: 711
  • 468DA441-6CED-40ED-B19E-D5650F36F7E5.webp
    468DA441-6CED-40ED-B19E-D5650F36F7E5.webp
    21.5 КБ · Перегляди: 689
  • A7728455-544E-404F-9304-1F39464EAADC.webp
    A7728455-544E-404F-9304-1F39464EAADC.webp
    41.3 КБ · Перегляди: 744
Рентгенологически там всё спокойно: канал запломбирован адекватно, реакции со стороны околоверхушечных тканей нет.
У Вас пародонтитище. Карманы по 10 мм и сплошные камни под десной. Скорее всего, именно это даёт симптоматику.
 
Рентгенологически там всё спокойно: канал запломбирован адекватно, реакции со стороны околоверхушечных тканей нет.
У Вас пародонтитище. Карманы по 10 мм и сплошные камни под десной. Скорее всего, именно это даёт симптоматику.

Спасибо. Надо идти делать чистку? Или там нельзя убрать камни?
 
Назад
Зверху Знизу