Статус: Офлайн
Реєстрація: 20.08.2014
Повідом.: 72377
Реєстрація: 20.08.2014
Повідом.: 72377
Прости меня! И ты тутта....Густав.
Перегляньте відео нижче, щоб дізнатися, як встановити наш сайт як веб-програму на головному екрані.
Замітка: This feature may not be available in some browsers.
Прости меня! И ты тутта....Густав.
Прости меня! И ты тутта....
Вау, окей!Меня здесь нет, я в душ иду. Не засиживайся.
Много никогда не бывает
![]()
А у меня рука не поднялась! Баксы и кактус это Святое. Я как Леон,- кроме женщин и детей...спасибо, охуенно *******л.
А у меня рука не поднялась! Баксы и кактус это Святое. Я как Леон,- кроме женщин и детей...

Угу. Смешно думаешь.мне тут в репу пишут, мол не стоит выкладывать такие фото в сеть...
а что не так, я ж не миллион баксов завернутые в газету засветил
...
мне тут в репу пишут, мол не стоит выкладывать такие фото в сеть...
а что не так, я ж не миллион баксов завернутые в газету засветил
![]()
Та бросьУгу. Смешно думаешь.
А кому-то на айфон не хватает.
То они с непривычкимне тут в репу пишут, мол не стоит выкладывать такие фото в сеть...
а что не так, я ж не миллион баксов завернутые в газету засветил
![]()
Вы про Избирком ??Во блин, думал, "кукловоды"уже в прошлом
Вы про Избирком ??
Везде гомноВова и туда бюллетени поставляет?

НормасОдин имплант стоит как айфон. Кого ты лечишь![]()
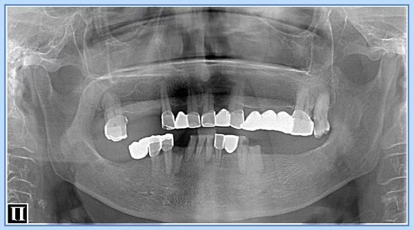
Это зубки одной очень популярной телеведущей нашего города. Имя указывать не стану. На момент выполнения рентгенограммы девушке было 26 лет, она регулярно обращается к нам на «профчистки» и лечение. У нее все хорошо. И вот ее телефон пару лет назад: