Брекеты

  • Автор теми Автор теми yar
  • Дата створення Дата створення
Добрый день!
Пожалуйста, порекомендуйте ортодонта (желательно с опытом исправления мезиального прикуса). У меня случай запущенный, 22 года уже и начались проблемы с височно-нижнечелюстным суставом (перетягивает челюсть влево).
Спасибо.
 
Добрый день!
Пожалуйста, порекомендуйте ортодонта (желательно с опытом исправления мезиального прикуса). У меня случай запущенный, 22 года уже и начались проблемы с височно-нижнечелюстным суставом (перетягивает челюсть влево).
Спасибо.

Подскажите, пожалуйста. У меня уже два раза за два месяца проблемы с нижней челюстью. Была в четверке в декабре - сказали, что артрит ВНЧС. Направили к ортопеду. Он мне ничего нового не предложил (попить нимесил и все), а отправил к ортодонту (это 2 стомат. поликлиника). У меня неправильный прикус, естественно настоятельно рекомендуют исправлять.
Но дело в том, что если месяц назад у меня челюсть среди ночи "съехала" с привычного места вправо, то на днях она снова сдвинулась, теперь влево.
Подскажите, к какому врачу мне идти? уже несколько дней сильные боли и слева и справа, "параллельность" верхних и нижних зубов нарушена =( Это я по ощущениям...

Случаи подобные вашему лечатся тяжело. Доктора берутся за такие случаи с неохотой. Этим должны заниматься специализированные клиники, но таких в Харькове к сожалению нет. По крайней мере, из того что пишется в темах на форуме напрашивается такой вывод.
То, что вам ничего не предложили в Неотложке, подтверждает этот факт. Проблемы с суставом это их компетенция.
 
Останнє редагування:
Собираюсь ставить брекеты в ближайшее время. Прочитал всю тему целиком. Думаю, не будет флудом, если я буду описывать здесь процесс лечения "от и до"? Мне 25 лет, занимаюсь жестким контактным видом спорта, что, думаю, осложнит лечение. Пишу с клона, да.
Скажу, к каким врачам ходил на консультации, что сказали, впечатление, стоимость, сроки, фото как было и процесс, результат. Мне кажется, что должно быть интересно. Мне - в том числе. :) Что скажете?
Где Вы пропали?
Все так интересно начиналось...
 
Ну вот и закончилась моя эпопея с брекетами.
15 месяцев, 17 000грн и вот результат :)

VHOKHTEaiCQ.jpg
 
Ну вот и закончилась моя эпопея с брекетами.

Скажите, пожалуйста, помимо брекетов у Вас ещё и реставрация была ? Отбеливали зубки ? Как Вы добились такого эффекта ? (Имею в виду белизна зубов и форма центральных)
Результат хорош !
 
Скажите, пожалуйста, помимо брекетов у Вас ещё и реставрация была ? Отбеливали зубки ? Как Вы добились такого эффекта ? (Имею в виду белизна зубов и форма центральных)
Результат хорош !

Судя по тому, как некрасиво выглядит десна в области передних четырех зубов,
то лечение Lily19 закончилось винирами или коронками.
И в не лучшем исполнении.




Десна синюшная, отечная и отстоит от зубов.
 
Судя по тому, как некрасиво выглядит десна в области передних четырех зубов,
то лечение Lily19 закончилось винирами или коронками.
И в не лучшем исполнении.
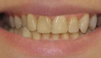
Мне делали реставрацию, перекрывали мою эмаль другим материалом. Фото сделано сразу по приезду из клиники. Надеюсь, что заживет. Хочу перекрыть еще 4 верхних зуба, так как мои с флюорозом.

Единственное, что меня беспокоит - это то, что после установки ретейнера, правый нижний резец и второй зуб стали сильно упираться в верхний ретейнер. Но доктора как-то отморозились, говорят, что ничего не поделаешь.... А мне совсем дискомфортно. Чувствую, придется еще ехать беседовать...
 
в какой клинике и кто с вами работал?(в личку,пожалуйста)
 
Мне делали реставрацию, перекрывали мою эмаль другим материалом. Фото сделано сразу по приезду из клиники. Надеюсь, что заживет. Хочу перекрыть еще 4 верхних зуба, так как мои с флюорозом.

Единственное, что меня беспокоит - это то, что после установки ретейнера, правый нижний резец и второй зуб стали сильно упираться в верхний ретейнер. Но доктора как-то отморозились, говорят, что ничего не поделаешь.... А мне совсем дискомфортно. Чувствую, придется еще ехать беседовать...

У дочери похожая история. Зубы были кривые и некрасивые.

XLyIO9v2_7s.webp


Лечение брекетами на верхней челюсти растянулось на 11 месяцев и обошлось 5,5 тыс грн. Это за керамические брекеты. Так как передние зубы были все в пломбах и разноцветные, то решилась не керамические виниры. :6-ть штук - 18 тыс. Вроде как керамические виниры очень долговечные и максимально красивые.

byY9FtSlQG4.webp

Нижние брекеты ставили позже. С нижними зубами все длится уже 14 мес. Тоже набегает около 6 тыс.
 
Добрый день! Посоветуйте, пожалуйста, хорошего ортодонта в Киеве, если можно)
 
Останнє редагування:
Здравствуйте! На днях была в смоматологии Silk. Сказали, что самолигирующиеся керамические брекеты на одну челюсть стоят 9 тысяч. Плюс по 100 грн за ежемесячный осмотр. Скажите, это реальная цена или есть возможность поставить такие же брекеты, но дешевле? Заранее спасибо.
 
Здравствуйте! На днях была в смоматологии Silk. Сказали, что самолигирующиеся керамические брекеты на одну челюсть стоят 9 тысяч. Плюс по 100 грн за ежемесячный осмотр. Скажите, это реальная цена или есть возможность поставить такие же брекеты, но дешевле? Заранее спасибо.

На качество ортодонтического лечения не влияет, вы лечитесь лигатурными или самолигирующими брекетами.
А цена лигатурных керамических брекетов на 4 тысяч ниже.

У самолигирующих брекетов есть металлическая крышка, лигатурные брекеты полностью керамические. То есть, с эстетической точки зрения мне больше нравятся лигатурные.
Но существует еще множество нюансов, влияющих на выбор брекетов.

⚠ Тільки зареєстровані користувачі бачать весь контент та не бачать рекламу.
 
8я стоматологическая на Алексеевке ост.Молодёжная. Гаврик Светлана Ивановна. Сделала мне (30 лет) и подруге (38 лет). Носили брекеты 1.5 и 3 года соответственно, конечно, возраст много решает, но результат)))) мне не верится, что теперь это я)))
Всем советую!
 
У дочери похожая история. Зубы были кривые и некрасивые.

Лечение брекетами на верхней челюсти растянулось на 11 месяцев и обошлось 5,5 тыс грн. Это за керамические брекеты. Так как передние зубы были все в пломбах и разноцветные, то решилась не керамические виниры. :6-ть штук - 18 тыс. Вроде как керамические виниры очень долговечные и максимально красивые.

Нижние брекеты ставили позже. С нижними зубами все длится уже 14 мес. Тоже набегает около 6 тыс.

Скажите, а где вы ставили керамические брекеты?
 
Я ставила себе керамические брекеты. мой пост выше.
 
Поставили дочке 20 лет в клинике "Все 32" на Героев Труда. У нас сложная ситуация с последующим одним имплантом (нет от природы одного постоянного зуба - вместо него молочный).
Очень не повезло с ценой, т.к. пока велись переговоры и обсуждения схемы лечения, взлетел доллар. Металлическая система на 2 челюсти - 9000 грн.
Мы поставили комбинированную - 6 передних верхних - сапфир (они прозрачные), остальные металл. У дочери их практически не видно при общении и улыбке. Довольны, что решились на такие, хотя они довольно хрупкие, надо аккуратно. Но и стоило это 12500. Первый взнос 50%, остальное на 10 месяцев рассрочка. Все подкрутки бесплатно.
Доктор внимательная, грамотная, ну, а о результате говорить рано - дадим оценку по итогу красивой улыбки.
 
Металлическая система на 2 челюсти - 9000 грн.

Мы поставили комбинированную - 6 передних верхних - сапфир (они прозрачные), остальные металл. У дочери их практически не видно при общении и улыбке. Довольны, что решились на такие, хотя они довольно хрупкие, надо аккуратно. Но и стоило это 12500.

Если говорить о ценах.
Мы ставим брекеты
Металлические на две челюсти 6.000 грн.
Все брекеты керамические (и передние и боковые) 10.000 грн.
Все брекеты сапфир (и передние и боковые) 10.000 грн.

Количество активаций у всех пациентов разное. Кто-то лечится 1 год, а кто-то 3 года.
Тот кто лечится три года сделает в 3 раза больше активаций, чем тот кто лечится 1 год.
 
Это цена керамики и сапфира за 2 челюсти?

Да. Если лечим сапфировыми брекетами, то цена за две челюсти 10.000грн.
Для керамических цена та же.
Лично мне на вид больше нравятся керамические брекеты.
Вот так они выглядят.
brekety-5a.jpg



Так выглядят сапфировые.
sapfir02.jpg
 
Назад
Зверху Знизу