Змінюй хід війни! Допомагай ЗСУ!

Ортодонты Харькова

  • Автор теми Автор теми maskos
  • Дата створення Дата створення
Скажите,о Стариковой,Светлане Леонидовне,кто-нибудь может что-либо сказать?Ортодонт в Фортуне.может кто-то у нее лечился?
 
на сколько знаю, сейчас в частных, детский и взрослый - один врачь
 
Катуров Александр Валерьевич , самый лучший ортодонт.
очень умный и внимательный доктор.
 
Дайте тел ТОкарево Ирины пож.
 
прошла лечение у Кроливец Т. Г. она работает в Имплантис на Плехановской и еще где то, мне очень понравилась, результатом очень довольна, сделала то, что даже не обещала в начале, всем советую....
 
Тоже пошли к Токаревой,очень понравилась мне(все рассказала,объяснила,показала),а главное ребенку,с уверенностью сказала что будем лечить там зубки! до этого панически боялась всех к кому не ходили.Рекомендую!
 
Так же поддерживаю кандидатуру Токаревой Ирины. Очень приятна во всех отношениях и, главное, очень толковая.
 
есть у кого отзывы об ортодонтах 1 детской стомат. поликлиники (на широнинцев)?
о Губаревой, вижу, написали, но там еще 2 есть - Янбекова и Абдулла Хемрат (или как-то так..).
 
есть у кого отзывы об ортодонтах 1 детской стомат. поликлиники (на широнинцев)?
о Губаревой, вижу, написали, но там еще 2 есть - Янбекова и Абдулла Хемрат (или как-то так..).

Были у Хамдана. Два дня рассказывал все подробно, показывал картинки и фильмы. Потом загадал за исправление прикуса (с брекетами) 1,5 тысячи долларов. До этого я инет серфила и была готова к сумме до 1 тысячи. К полутора не готова.
У Янбековой ставили пластинку, несколько раз к ней сходили, а потом она неожиданно ушла в декрет ) Без объявления войны. После декрета к ней не заходили. Пластинка не помогла. Будем искать дальше.
 
Мне понравился ортодонт Левин Борис Владимирович. Доктор рассказал понятными словами в чем проблема и как с ней бороться.А вот до Левина мы посетили Лещук Елену Александровну осталась не довольна,мое мнение выкачка денег.И пластинку на зубы поставила,которая только способствовала ухудшению состояния зубов.
 
Подскажите специалиста,который исправляет прикус в взрослом возрасте.ОЧЕНЬ НАДО!
 
Мы тоже уже год лечимся у Левина, результат на данном этапе радует. Носим брекеты, только верх.
 
а может кто-то дать координаты Токаревой Ирины? и рассказать о цене, пожалуйста)
 
В 1 на Широнинцев еще есть Доценко Инна Олеговна о ней хорошо отзываются. Мне говорили на Тринклера есть хороший врач Петросова Милена Вячеславовна вт,чт с .9до 13. Вот хочу сходить.была у Петросовой.Врач понравился.Долго в очереди нестояли, получила хорошую консультацию совершено бесплатно.
 
Останнє редагування:
Кто-то ставил брекеты у Маенко Алины Викторовны ? Хотелось бы узнать отзывы.
 
Поставила брекеты в 22 года (в 2012 году) Результат был заметен уже через 2 месяца. Ортодонт - Данилова Юлия Геннадиевна, ортодонт высшей категории, стоматологическая поликлиника на плехановской 98. Сняли в ноябре 2014, но еще продолжает доводить прикус и зубы до идеала (ношу капы). Оплачивала сразу за все лечение 1 раз! И дальше уже хожу бесплатно, т.е. ежемесячные приемы, щетки, лечение и наблюдение после снятия брекетов входят в эту стоимость. Очень приятная женщина, всё подробно рассказывает и показывает как будет проходить лечение, объясняет каждое свое действие. Я более чем довольна, и врачом, и результатом. Если кого заинтересует, пишите в личку, дам контакты
 
Огромное спасибо Левину Борису Владимировичу. Рекомендую этого ортодонта. Для него действительно важно - здоровье пациента, а не сколько вы ему денег заплатите. Всё доступно объясняет.
 
Помогите пожалуйста найти контакты Дариловой Юлии Геннадьевны! Нужен её Личный номер. Заранее благодарю за помощь!
 
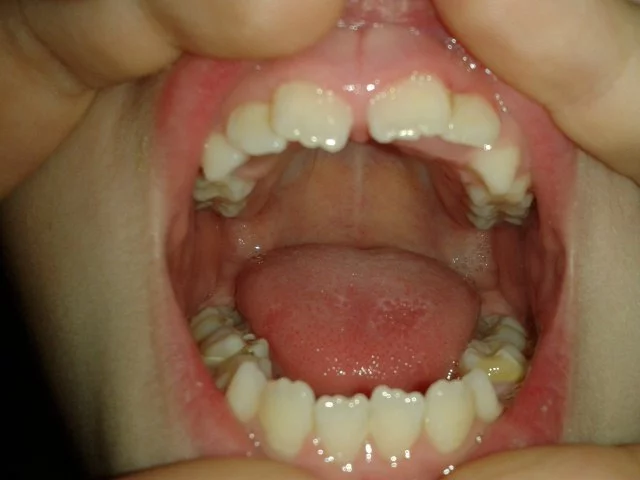
Дорогие врачи ортодонты! Нужна ваша квалифицированная консультация.
Ребёнку 7 лет, зубки растут куда зря. Уздечку подрезали, а как дальше быть не знаем. Зубки растут, но ровнее не становятся. Что делать в этом случае?
Пишу сюда, так как в данный момент дитя находится не в Харькове, и там нет специалистов, которые могли б хоть что-то сказать. Может есть какие-то капы, пластинки, или тут нужны уже брекеты? Спасибо всем, кто не оставит без внимания, при первой же возможности привезу ребёнка на осмотр, но хочется хоть немного понимать к какому вердикту готовиться.
Вот несколько фото.
 

Вкладення

  • 4bNYNsPyI2Q.webp
    4bNYNsPyI2Q.webp
    22.2 КБ · Перегляди: 3063
  • ekHBgqkWFbE.webp
    ekHBgqkWFbE.webp
    20.1 КБ · Перегляди: 3013
  • Qw2DdynKnUE.webp
    Qw2DdynKnUE.webp
    19.5 КБ · Перегляди: 2968
Помогите пожалуйста найти контакты Дариловой Юлии Геннадьевны! Нужен её Личный номер. Заранее благодарю за помощь!

У меня есть телефон ортодонта Юлии Геннадиевны со второй стомат поликлиники (заведующая детским отделением). Но я не знаю она ли это? Т.к. не знаю ее фамилии.

Скажите,о Стариковой,Светлане Леонидовне,кто-нибудь может что-либо сказать?Ортодонт в Фортуне.может кто-то у нее лечился?

Говорят, что она толковая. Мне понравилось у нее на консультации - все подробно и аргументированно обьясняет. Но она очень загружена, т.к. помимо отодонтии занимается еще и ортопедией.


Ортодонта не знаю, а главный врач Шепель хороший человек, таких среди глав. врачей мало.

А знаете ли Вы ортодонта Камалову Светлану Викторовну, принимает в "Немецкой стоматологии"? Является ли она хорошим практикующим специалистом? Потому что ее имя больше фигурирует в качестве лектора ортодонтических курсов. А отзывов реальных пациентов о ней практически нет(( А мне очень нужен хороший лечащий ортодонт, применяющий современные методики, т.к. сложный случай, состоящий в смещении в суставе нижней челюсти, рецессии десны, малом количестве костной ткани и предыдущем неудовлетворительным ортодонтическом лечении.
 
Останнє редагування:
Назад
Зверху Знизу