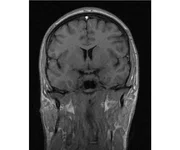
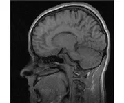
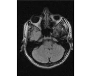
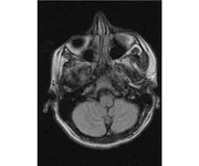
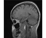
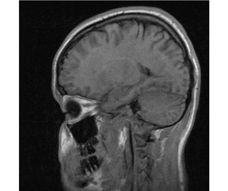
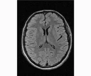
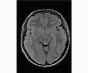
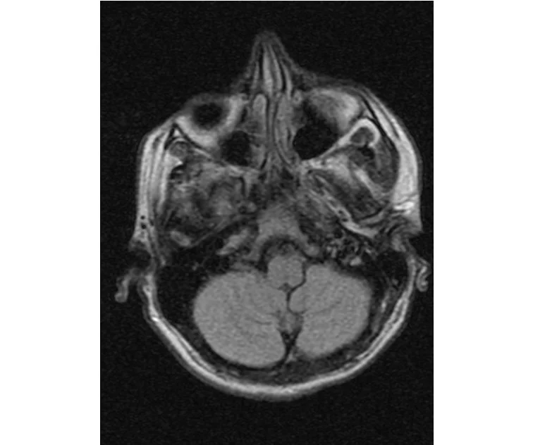
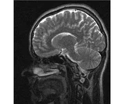
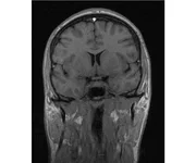
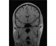
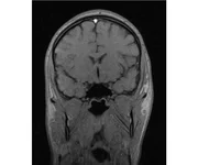
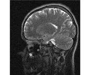
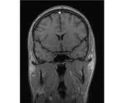
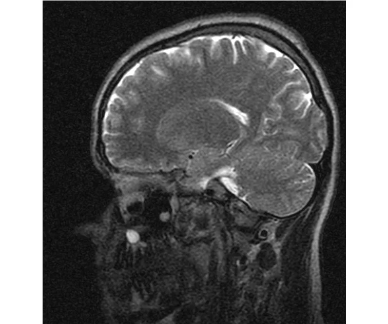
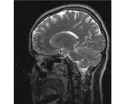
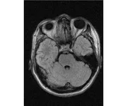
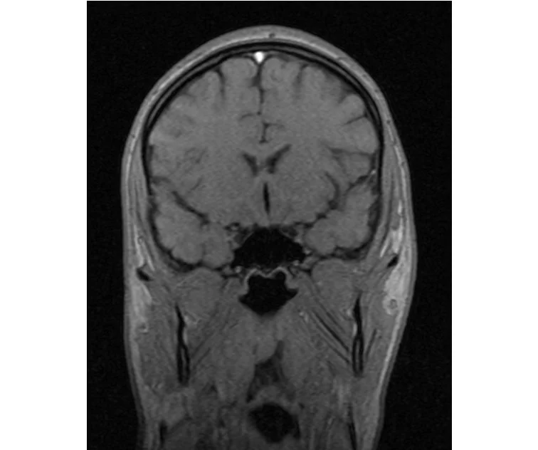
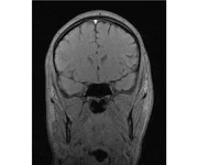
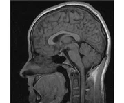
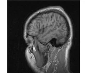
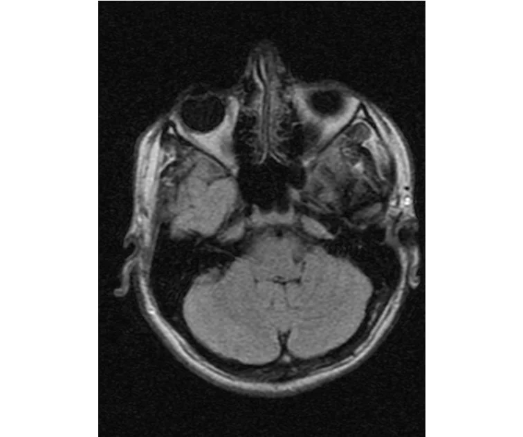
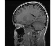
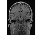
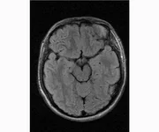
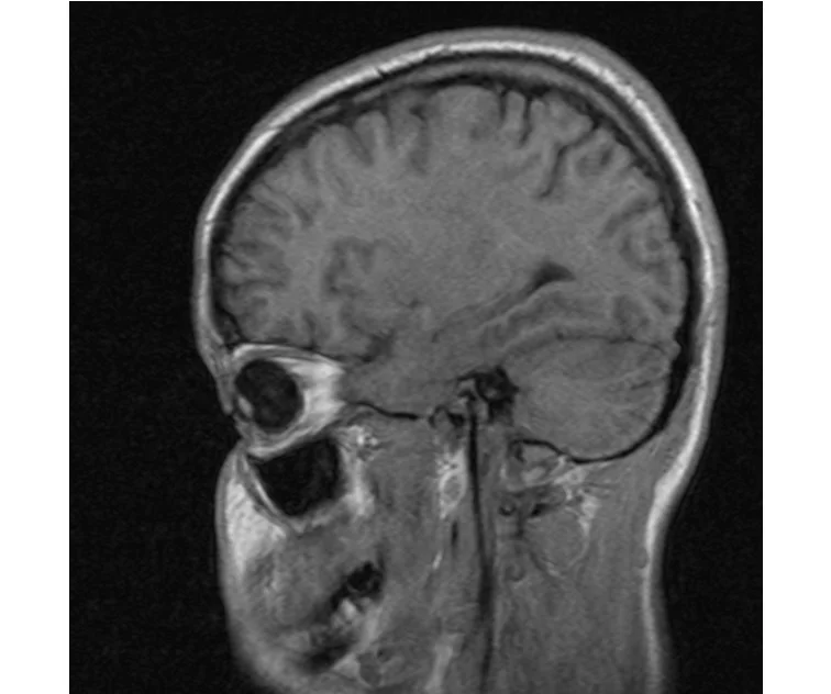
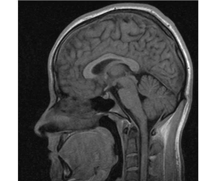
глянте на снимки томографии плиз

  • Автор теми Автор теми Haer
  • Дата створення Дата створення
Статус: Офлайн
Реєстрація: 15.06.2007
Повідом.: 189
глянте на снимки томографии плиз

делал в обласной на siemense.В заключении выданом мне через 15мин.после мрт (легкая дегидрация)
куда можно обратится с записью на диске?
 

Вкладення

  • 000A27DA.webp
    000A27DA.webp
    25.6 КБ · Перегляди: 85
  • 000A4209.webp
    000A4209.webp
    24.6 КБ · Перегляди: 84
  • 000B1E7F.webp
    000B1E7F.webp
    22.2 КБ · Перегляди: 93
  • 000B6EE1.webp
    000B6EE1.webp
    21.3 КБ · Перегляди: 90
  • 000B32A3.webp
    000B32A3.webp
    21.3 КБ · Перегляди: 82
  • 000B92D4.webp
    000B92D4.webp
    21.8 КБ · Перегляди: 95
  • 000BA5A0.webp
    000BA5A0.webp
    21.6 КБ · Перегляди: 81
  • 000BB550.webp
    000BB550.webp
    22.1 КБ · Перегляди: 81
  • 000BE336.webp
    000BE336.webp
    23.3 КБ · Перегляди: 84
  • 0005D2B9.webp
    0005D2B9.webp
    24.5 КБ · Перегляди: 75
  • 0005F506.webp
    0005F506.webp
    26.7 КБ · Перегляди: 88
  • 0006AC8E.webp
    0006AC8E.webp
    25.6 КБ · Перегляди: 84
  • 0006F1F4.webp
    0006F1F4.webp
    26.2 КБ · Перегляди: 80
  • 0007AA76.webp
    0007AA76.webp
    36.9 КБ · Перегляди: 85
  • 0007D2EE.webp
    0007D2EE.webp
    37.8 КБ · Перегляди: 78
  • 0007E6D3.webp
    0007E6D3.webp
    36.2 КБ · Перегляди: 82
  • 0007F72F.webp
    0007F72F.webp
    37.6 КБ · Перегляди: 77
  • 0009B0A6.webp
    0009B0A6.webp
    24 КБ · Перегляди: 81
  • 0009C661.webp
    0009C661.webp
    24 КБ · Перегляди: 78
  • 0009EEB9.webp
    0009EEB9.webp
    25 КБ · Перегляди: 77
  • 00062DF8.webp
    00062DF8.webp
    25.7 КБ · Перегляди: 90
  • 00095F3B.webp
    00095F3B.webp
    24.9 КБ · Перегляди: 78
  • 000649CD.webp
    000649CD.webp
    27.8 КБ · Перегляди: 81
  • 000930D8.webp
    000930D8.webp
    28 КБ · Перегляди: 90
  • 000975A1.webp
    000975A1.webp
    24.6 КБ · Перегляди: 82
  • 000987A2.webp
    000987A2.webp
    25.8 КБ · Перегляди: 83
  • 00067458.webp
    00067458.webp
    25.8 КБ · Перегляди: 95
  • 00069637.webp
    00069637.webp
    26 КБ · Перегляди: 76
  • 00080577.webp
    00080577.webp
    36.8 КБ · Перегляди: 88
Меня смутил факт выдачи заключения через 10мин(наверно они у них зарание напечатаные)я не медик.достаточно мимолётного взгляда на снимки?А вы видете на них гидроцефалию? Я лиш спросил куда идти с результатами томографии?и не хотел никого роздражать.
 
Останнє редагування:
Меня смутил факт выдачи заключения через 10мин(наверно они у них зарание напечатаные)я не медик.достаточно мимолётного взгляда на снимки?

Это когда-то томограмма представляла собой серию рентгеновских снимков, полученных при движении излучателя над пациентом. Эти снимки рассматривал обычный врач-рентгенолог, рассматривал по очереди, поэтому и заключения приходилось ждать подолгу.

А сейчас процедура так и называется - компьютерная томография. Все формулы, все шаблоны, все возможные варианты уже заранее заложены в компьютер. Человек может чего-то не заметить, но машина этого не пропустит. Компьютер давно уже расшифровывает и ЭКГ, и другие анализы. Лично я не вижу оснований не доверять компьютерной расшифровке. И не имеет значения, через 1 минуту заключение получено, через 10 или через час. Достоверность от этого никак не меняется...
 
Спасибо,теперь всё ясно.А где в Харькове лечить гидроцефалию?Раённый нервопатолог на рание предоставлиные результаты обследования(выраженые признаки ликворной гипертензии)выписал нейровитан и фезам и отослал домой.Смысла идти с результатами томографии к нему наверно нету...
 
А что нужно делать с записью на диске? Подретушировать гидроцефалию?
Насколько я понимаю Вы доктор вот ТС и спрашивает совета и снимки выложил
А гидроцефалия - это отёчность в результате плохого кровообращения в сосудах мозга.
 
Насколько я понимаю Вы доктор вот ТС и спрашивает совета и снимки выложил
А гидроцефалия - это отёчность в результате плохого кровообращения в сосудах мозга.

Ну так я уже объяснял в соседней теме. Ни снимки, ни бумажки, ни чужие диагнозы я не смотрю, не исправляю и не отменяю. Консультирую лишь конкретного человека с какой-либо насущной проблемой. В данном конкретном случае человека никогда в жизни не видел, никакой абсолютно информации о нем самом, о его жалобах, симптоматике и клинической картине заболевания не имею. Поэтому и помочь ничем не могу. Я не колдун, не экстрасенс и не маг, по фотографии, к сожалению, не лечу.
 
Всё правильно, но видимо фезам и нейровитан, назначенные в районной поликлиннике не помогают и ТС ищет где ему могут помочь

А где в Харькове лечить гидроцефалию?Раённый нервопатолог на рание предоставлиные результаты обследования(выраженые признаки ликворной гипертензии)выписал нейровитан и фезам и отослал домой.Смысла идти с результатами томографии к нему наверно нету
 
Злые, сцуко, люди пошли. 90% ответов местных врачей просто меня удивляет-вот кому чужое горе безразлично. Люди о помощи просят, а их тупо задрачивают.
 
Причём тут злость? Каков вопрос, таков ответ.
Неужели люди не понимают, что по ТАКОМУ невозможно ничего сказать? Крокодил иногда действительно резковат, но в данном случае он совершенно прав.
 
Причём тут злость? Каков вопрос, таков ответ.
Неужели люди не понимают, что по ТАКОМУ невозможно ничего сказать?

Ну я так понял, что этот господин рожден для того, чтобы воспитывать консультантов и делать им замечания. Я уже несколько раз предлагал ему показать своим примером, как нужно консультировать грамотно и с любовью, но, видимо, он находит в моем предложении нечто унизительное, поэтому сам не консультирует, а по-прежнему комментирует других. Ну что ж, каждому свое...

Разумеется, в процессе сбора анамнеза очень часто я сам интересуюсь у пациента, а делал ли он ранее определенные исследования и могу ли я увидеть результаты. Но при этом я сразу же поясняю, что я хочу увидеть, и сразу же комментирую результат. Скажем, в представленном клиническом анализе крови не обнаружены незрелые лейкоциты (нет сдвига лейкоцитарной формулы влево), СОЭ в разумных пределах, следовательно, в момент забора анализа острого воспалительного процесса не было...

Я хочу рассказать публике еще один показательный случай случай из своей практики. О ценности того или иного анализа. Малознакомый человек, возвращаясь из своей районной поликлиники с результатами клинических анализов, спросил у меня, могу ли я посмотреть его анализ мочи. Разумеется, я задал человеку несколько вопросов о его жалобах, самочувствии, о причинах, побудивших его на этот анализ, и только после этого согласился взять бумажку в руки. Вообще-то я всегда с большим юмором отношусь к клиническим анализам мочи, сам видел в лаборатории, как их делают. И еще я очень осторожен в выводах при постановке серьезных диагнозов, всегда требую убедительных и неопровержимых доказательств. Но этот случай был уникальным.

Уже через минуту я сказал, что этому анализу я доверяю на все 100%, что его делал очень опытный и добросовестный врач-лаборант. Он не только подчеркнул наличие атипичных клеток, но и детально эти клетки описал. Наличие описанных атипичных эпителиальных клеток и большого числа эритроцитов в моче позволяет без рентгенографии и без цистоскопии практически со 100%-й уверенностью говорить о раке мочевого пузыря. Я объяснил человеку, что шансы на выздоровление есть, что рак мочевого пузыря редко дает метастазы и только на очень поздних стадиях, поэтому с лечением нельзя медлить и дня!

К сожалению, этот человек не был своевременно прооперирован и через 1.5 года умер от рака мочевого пузыря.

Описанный случай демонстрирует, что иногда буквально за 2-3 минуты и по одному-единственному анализу можно поставить серьезный диагноз. Но такие случаи крайне редки. И не нужно требовать этого ни от своего личного врача, ни от участкового, ни от совершенно незнакомого форумного консультанта.
 
Приходит пациент, жалуется на боли в груди, а иногда и вообще не жалуется, так делают кардиограму или УЗИ и вдруг видят (без всяких жалоб) то ли инфаркт (прединфарктное состояние), то ли кисту.... о чем и сообщают пациенту, только после чего все начинают (что то делать). Например в 5 детской неврологии вообще никто с тобой разговаривать не хочет после обследования (проводят детям 3 обследования головного мозга)-там конвейер, берешь результаты, а с ними уже к врачу. В данной теме как и в той, на которую в начале ссылку кинул один из консультантов-модератор, люди не спрашивают лечения, спрашивают просто видит ли врач что то, что выходит за пределы нормы..., что вызывает у специалиста повышенное внимание.... и всё...и врач просто должен сказать "да, тут я вижу небольшие отклонения от нормы", "а тут всё нормально"-ИМХО всё остальное написанное 2мя лицами (все поняли о ком речь-понты)
 
Я попросил взглянуть на снимки и сказать видна.ли на них гидроцефалия?или куда обратится за консультацией по этому вопросу?В мрт снимках наверно розбирается любой нервопатолог(я так предположил)
Это же не шифровка неинформативной инцефалограммы...Крокодил пояснил автоматизм современных мрт(я так понял что машина сама анализировала снимки и выдала достоверное заключение)Спасибо
ему за инфу.Кто нибудь знает зачем перед обследованием они просят рекомендации?они не полностью смотрят мозг?
 
...и врач просто должен сказать "да, тут я вижу небольшие отклонения от нормы", "а тут всё нормально"

Какие-то у вас совсем скромные запросы. Мне постоянно рассказывают, что я должен гораздо больше. Вы так разбалуете современных врачей.
 
Причём тут злость? Каков вопрос, таков ответ.
Неужели люди не понимают, что по ТАКОМУ невозможно ничего сказать? Крокодил иногда действительно резковат, но в данном случае он совершенно прав.

почему НИЧЕГО????

я так скажу. мой близкий родственник лежал 4-ке, выбрали лучшего врача ( по знакомству вдобавок), платную палату, томографы-хуеграфы. любые лекарства... в деньгах проблем не было.

так вот вся бригада калечащих припездков из 4 ки (отделение не скажу точно, но невропатологи ) поставила НЕПРАВИЛЬНЫЙ диагноз и лечили НЕ ОТ ТОГО-потому что не шарят нихера.

передали снимки в москву родственникам, они отнесли в институт мозга и там сразу врачи сказали что к чему. а наши так и лечили ****** инсульт...которого не было.
и напоследок втюхали прибор за 500$...из серии лекарство от рака.

закончилось все плохо. ответственности за неправильный диагноз и смерть ессно никакой не понесли. круть-верть.

так что не надо рассказывать что НИЧЕГО сказать нельзя.
 
Спасибо,теперь всё ясно...

Послушай меня, дружище! Ничего тебе не ясно. Но поскольку ты не наглый и не качаешь здесь права, я попытаюсь один раз объяснить так, чтобы тебе действительно стало ясно, тем более ты уже за это сказал спасибо.

Я уже говорил, что независимо от того, есть на МРТ гидроцефалия или нет, лечиться тебе нужно только в том случае, если есть какие-либо проявления болезни, иначе на все эти анализы можешь забить... Но давай все-таки разберемся с томограммой.

Итак, с самого начала томограмма обозначала срез какого-либо органа на определенной глубине, позволяла заглянуть вовнутрь. При компьютерной томографии аппарат делает десятки срезов головного мозга в разных направлениях и из этого множества срезов он моделирует полноценное объемное изображение мозга в натуральную величину. Обрати внимание, компьютер работает не с этими миниатюрными изображениями, а с трехмерной моделью в масштабе 1:1. Эту модель вдоль и поперек анализирует суперсовременный компьютер, выполняющий миллионы операций в секунду. Только ***** может пытаться перепроверить компьютер, ведь человеку не хватит всей жизни чтобы проанализировать то, что компьютер с тобой сделал за 10 минут. Я хочу, чтобы ты это понял!

Ты разместл здесь несколько миниатюр и хочешь, чтобы врач по ним создал полноценное объемное изображение в натуральную величину, а потом осмотрел его со всех сторон и дал заключение? Но ведь это невозможно. Это просто насмешка над врачом, это издевательство над здравым смыслом. Принеси Букеру уменьшенный в 50 раз снимок зуба и спроси у него, в каком состоянии там корневые каналы. Или давай я дам тебе скрин со спутниковой карты города и попрошу тебя описать, какого цвета и какой модели запечатленная со спутника машина, какой у нее гос.номер, сколько в ней пассажиров, сколько из них мужчин и сколько женщин...

Надеюсь, ты понимаешь, что это невозможно. И воссоздать по приведенным тобой аватарам полную картину мозга тоже невозможно. Пойми, если уж называть вещи своими именами, то ты запостил полнейшую ***ню! Ты не хотел никого обидеть, ты ведь сам не ведал, что творил. Ты продемонстрировал полнейшую медицинскую безграмотность и полное невежество, но претензий к тебе нет. Ты ведь не один такой. Ты пожелал того, что сделать невозможно, и тут же у тебя нашлась сочувствующая, некая П., которую, по большому счету, надо бы послать в П., коль уж она считает, что врач должен тут сделать немедленно и бесплатно то, что делает немецкий компьютерный томограф ценой в миллионы долларов.

Я не хочу тебя обидеть, но ты и дальше обречен платить сотни и тысячи гривен за исследования, которые зачастую вовсе не нужны. Ведь ты в этом ничего не соображаешь, а человека, который бы всё это объяснял тебе на пальцах, у тебя нет. И я при всем желании не могу сидеть целый день на форуме и писать бесплатные лекции по основам медицинских знаний.
 
Останнє редагування:
Назад
Зверху Знизу