4000 грн на місяць

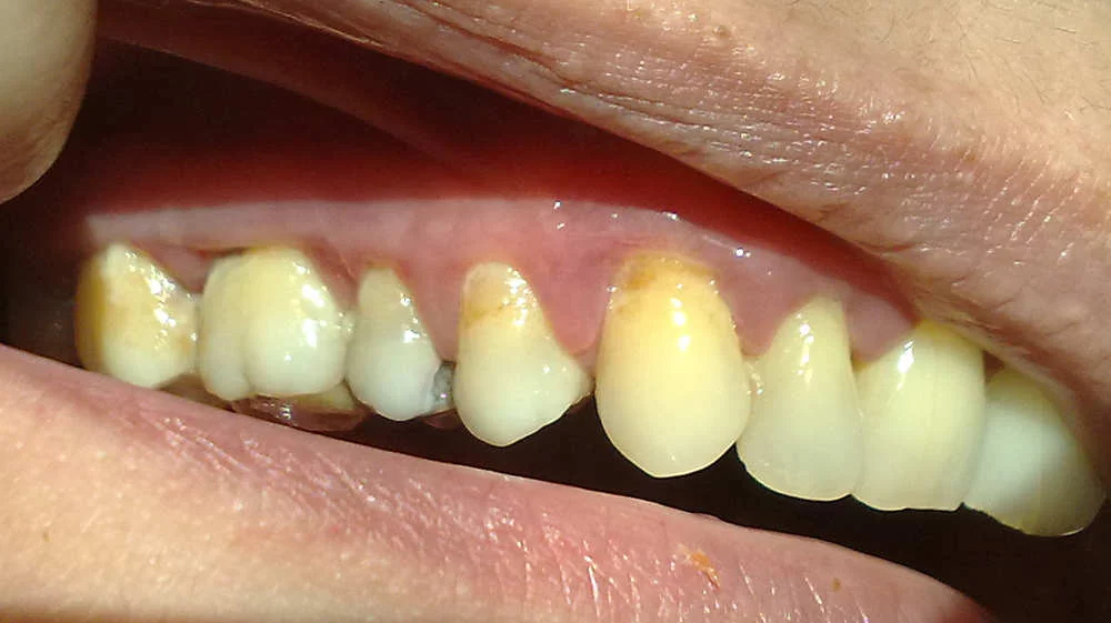
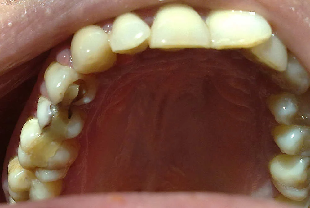
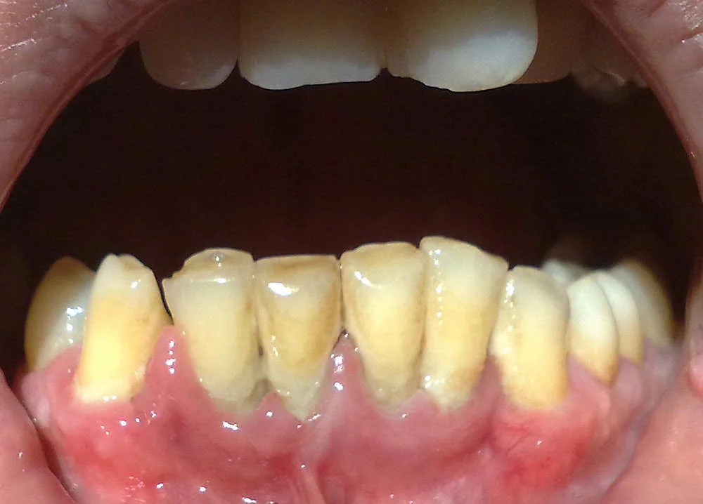
Зображення Ledi_Di

Назад
Зверху Знизу